上顎前突の矯正治療症例
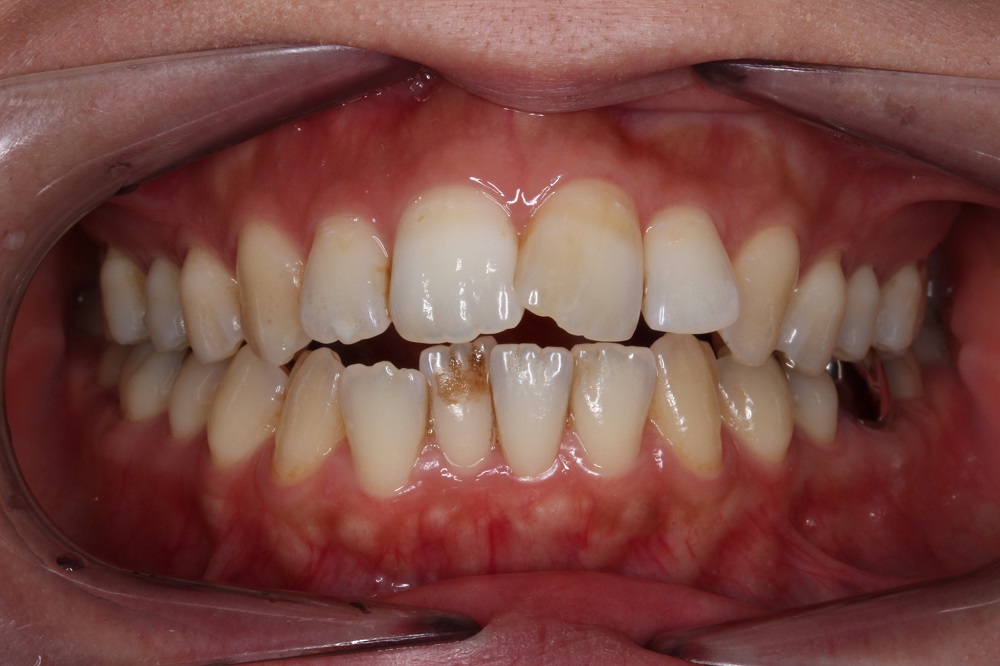
矯正治療前



矯正治療後



| 年齢・性別 | 30代女性 |
|---|---|
| 矯正治療期間 | 3年 |
| 抜歯の有無 | 左の上下1本づつ |
| 治療費 | 1,573,000円(税込)(検査料、装置代、調整料含む) |
| リスク・注意点 |
歯の移動に伴い痛みを生じる場合があります 治療後保定装置を使用しないと後戻りを生じる恐れがあります |
| 備考 | 舌側矯正をしています |
上の前歯が出ていることと下の歯が凸凹していると気にされて来院されました。
分析の結果、歯を並べなおすためのスペースが足りなかったので
左上の親知らずと神経の処置をされていた左下の奥歯を抜いて
スペースを確保し前歯を下げ、凸凹の解消を行いました。
上の歯も下の歯も歯の裏側にブラケットとワイヤーをつける舌側矯正で治療したため、
通常より期間と費用がかかってはいますが、
目立たないで治療を終えることができました。




